不少女性也许都有过这样的慌乱时刻:换内衣时瞥见内衣上沾着不明液体造成的污染印记,或是洗澡时无意按压乳房,竟有异常分泌物流出!瞬间就会慌神:是乳腺出问题了吗?要不要立刻去医院?接下来新疆医科大学第一附属医院乳腺外科的专家就为您厘清来龙去脉,教您辨清正常与异常,以及遇到这种情况时该怎么做。
01 乳头“流水”
乳头流水(即乳头溢液),是指乳头自主地或触碰、按压后出现排液的情况。临床上常根据诱因与特征分为生理性溢液和病理性溢液两大类。
生理性溢液:多与正常生理状态相关,比如妊娠期、哺乳期的正常泌乳、服用某些药物(如避孕药、部分镇静剂)后出现的双侧对称性溢液,以及绝经后女性偶尔出现的少量溢液,通常无需特殊干预。此外,甲状腺功能异常(如甲亢、甲减)导致体内激素水平波动时,也可能引发少量溢液;部分女性在月经周期前后,受雌、孕激素变化影响,同样会出现短暂的少量生理性溢液。
病理性溢液:指脱离生理范畴的异常分泌,表现为非哺乳期单侧或双侧乳头,从单个或多个导管中持续或间断流出液体,病程可长达数月甚至数年,往往提示乳腺可能存在导管扩张、乳头状瘤、炎症乃至恶性病变等问题,需要及时就医排查。
02 乳头溢液颜色大揭秘

血性、棕褐色、咖啡色溢液
需要警惕!可能是导管内乳头状瘤、乳腺导管扩张症、乳腺癌的信号。
水样、浅黄色浆液性溢液
若为单侧单孔、持续性,提示导管内可能病变,可同时合并乳房肿块。
脓性/黄绿色溢液
常见于乳腺脓肿或导管炎症,多见于哺乳期女性,可伴红肿热痛等症状,但非哺乳期脓性溢液需排查肉芽肿性乳腺炎等特殊炎症。
乳汁样溢液
通常与妊娠、哺乳或催乳素水平升高有关。
多色混合溢液
若溢液颜色混杂(如黄褐色带血丝),需考虑导管内乳头状瘤病等癌前病变可能。
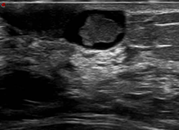
03 怀疑乳头溢液该做啥检查?
患者在乳腺专科门诊就诊时,医生会先进行细致的乳腺局部查体,再深入了解其病史,完善相关检查,通过多方面信息的整合,精准判断乳头溢液的性质,区分生理性与病理性原因。
乳腺超声
对乳腺导管的解剖结构及局部血流动力学特征进行评估。

乳管镜
进镜直接观察直接观察≤1mm导管内病变(如肿瘤、炎症),诊断精准度高。

乳腺钼靶
40岁以上女性建议同时完善乳腺钼靶,以便排查病变是否伴有钙化或实性结节。

乳腺核磁
推荐用于高危人群或微小病变检测。
对于一些特殊情况,如乳头溢液伴有内分泌系统症状的患者,可能还需进行内分泌激素检查或垂体MRI检查等,以排除垂体瘤等全身性疾病的可能性。
04 乳头溢液不用慌
科学预防攻略请收好
(1)干预策略:
定期自检:每月自查乳房及乳头,记录溢液颜色、量及诱因(如经期前后);观察乳头是否凹陷、皮肤是否红肿。
科学筛查:建议40岁以下女性每年查1次乳腺超声;40岁以上女性每年1次钼靶+超声联合筛查;高危人群每年1次MRI筛查。
生活方式调整:避免穿紧身内衣压迫乳房;减少高脂饮食、戒烟限酒;慎用避孕药及镇静剂(需医生指导)。
心理调整:约70%溢液为良性病变,避免过度焦虑。
(2)误区澄清
×溢液=乳腺癌:仅约3%-29%的病理性乳头溢液由乳腺恶性病变导致。
×自行挤压排液:反复刺激可能加重病情。
×忽视单孔溢液:单侧单孔溢液需优先排查恶性可能。
温馨提示
乳头溢液是女性常见的症状之一,虽然大多数是生理性或良性疾病引起的,但也不能排除乳腺癌的可能。因此,出现乳头溢液时建议及时就医,明确病因,以免延误病情。
科室简介
新疆医科大学第一附属医院乳腺外科是集医疗、教学、科研于一体的乳腺疾病诊治专业学科,自成立以来紧跟国际前沿,不断提高乳腺疾病诊治的专业化水平,其专业规模及学术影响力已处于疆内领先、国内先进水平。
科室率先引进了乳腺导管内窥镜,填补了疆内空白,大大提高了乳腺导管占位性疾病的检出率。治疗疾病主要包括小叶增生,导管上皮增生、扩张及各种乳腺良恶性肿瘤,如:乳腺疾病微创治疗,空心针活检,肿块活检,淋巴结活检及中心静脉输液港放置等。
专科特色:乳腺癌围手术期个体化规范化综合治疗,在恶性肿瘤治疗方面也掌握了根据对病人个体化分析病情,对病理组织多种基因和雌孕激素受体的测定情况来调整最先进的手术、化疗、靶向、内分泌治疗及整形方案。
乳腺外科将积极做好乳腺疾病的普查、诊断、治疗、护理、随访、康复为一体全周期医疗服务,用精湛的医术和贴心的服务为广大百姓服务!
专家介绍

地力木拉提·艾斯木吐拉
主任医师,副教授,硕士研究生导师
现任新疆医科大学第一附属医院消化血管中心乳腺外科主任。
专业擅长:乳腺癌、叶状肿瘤、导管内乳头状瘤、纤维腺瘤等良恶性肿瘤及各种乳腺增生性病变的诊断治疗,特别对乳腺癌的早诊早治有独到之处,擅长乳腺肿瘤的根治性切除,保乳术,前哨淋巴结活检以及乳腺癌的一期、二期的重新再造。
学术任职:中国中西医结合学会医学美容专业委员会乳房术后畸形修复学组副组长;新疆抗癌协会第四届抗癌协会副理事长;新疆抗癌协会第二届乳腺癌专业委员会副主任委员;新疆中西医肿瘤外科专业委员会副主任委员;新疆抗癌协会肿瘤精准治疗专业委员会常委。
专家门诊:周一至周四上午,门诊A区2楼12号诊室。

郭晨明
主任医师、教授,博士/硕士研究生导师
现任新疆医科大学第一附属医院消化血管外科中心乳腺外科副主任。
专业擅长:乳腺疾病的诊疗,缩乳,上提,乳腺癌一期,二期整形,腔镜乳腺手术等。
学术任职:任中国抗癌协会肿瘤整形外科专业委员会委员;任中国抗癌协会肿瘤整形外科专业委员会第一届青年专家组成员;任中国中西医结合学会医学美容专业委员会乳腺术后畸形修复专委会委员;任新疆抗癌协会肿瘤人工智能专业委员会委员;任新疆维吾尔自治区抗癌协会乳腺癌专业青年委员;任新疆抗癌协会第一、二届乳腺癌专业委员会委员。任新疆抗癌协会第一届肿瘤科普防治专业委员会委员;任2023年乌鲁木齐市卫生健康系列高级职称评审会委员;任新疆医科大学第一附属医院伦理委员会委员;任中国医药卫生事业发展基金会乳腺肿瘤学组委员;任教育部学位中心博士/硕士论文评审专家;任多种期刊杂志编委,同时兼任BMC、Springer、Frontier、Dove、Elsevier、MDPI等多个知名出版社旗下肿瘤学领域杂志活跃审稿人
专家门诊:周一全天,周三上午,周四上午,门诊A区2楼9号诊室;周二下午,门诊A区2楼8号诊室。