4月28日,新疆医科大学第一附属医院心律失常诊疗中心心脏起搏电生理科汤宝鹏教授及其团队成功开展了全国首例无导线起搏器Micra非急性期拔除(植入时间超过两年)及同步植入左束支区域起搏+心脏再同步除颤器(LOT-CRTD)植入术,该疗法实现了最大程度生理性起搏纠正心力衰竭及预防猝死的双重治疗目的,手术的顺利开展也标志着新医大一附院起搏电生理学科在该技术领域处于国际领先地位。

张疆华主任医师(右)、杨徐主治医师(左)为患者施术
患者张女士于两年前因急性心肌梗死介入治疗后出现房颤伴心动过缓在当地医院成功植入无导线起搏器,术后症状缓解。近半年,张女士出现了明显的劳累性呼吸困难、间断水肿等心衰症状,同时出现多次阵发性心悸并晕厥,为进一步治疗来到新医大一附院就诊。
经过入院相关检查可见,患者存在心室起搏依赖,心脏超声示心脏扩大,左心室EF值低,动态心电图可见短阵多形性室速。心脏起搏电生理科就患者的病情展开充分的讨论,考虑无导线起搏器的右室起搏已不适合患者目前心脏情况,甚至会加重患者的心衰症状,晕厥由室性心动过速所致。


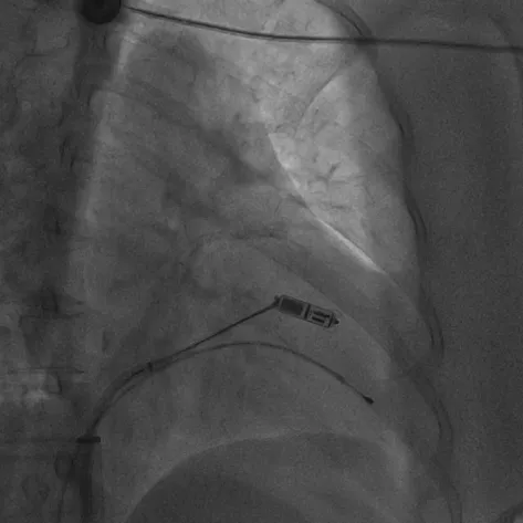
无导线起搏器被抓捕、拔除的术中影像
治疗团队经过充分讨论并评估了手术风险及预后,与家属反复沟通,决定为张女士实施无导线起搏器移除+生理性起搏+心脏再同步除颤器(LOT-CRTD)植入术。术前,汤宝鹏教授带领治疗团队进行了详细的文献查阅和充分的病情评估,对术中可能出现的各种风险做好了应急预案。术中,手术团队使用圈套器成功抓捕无导线起搏器Micra尾端并顺利拔除,同时给患者植入左束支心脏再同步起搏除颤器。手术顺利,患者术后恢复良好。

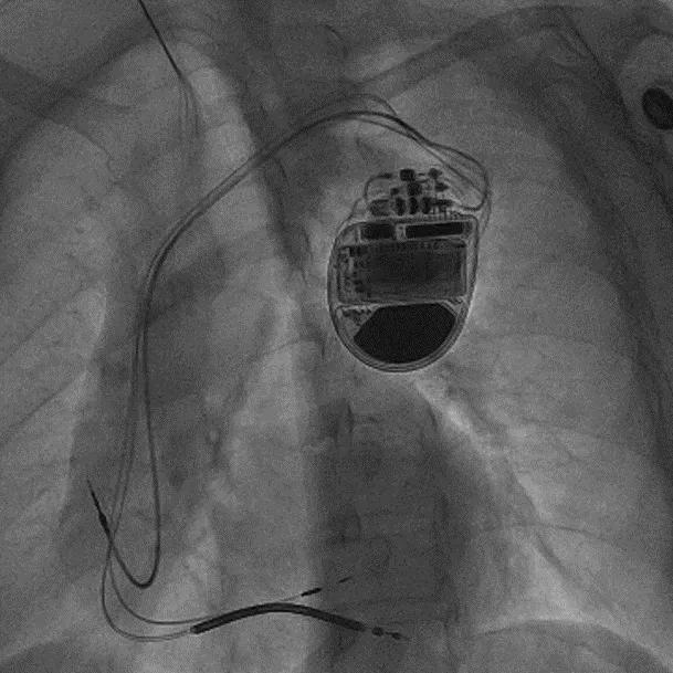
拔除无导线起搏器后植入左束支CRTD的术后影像
目前全国范围内针对非急性期无导线起搏器移除尚未有足够经验,个案移除均为术中或术后短期微脱位,起搏阈值升高,无导线起搏器未形成内皮化而被包裹。此次患者体内植入时间超过两年的无导线起搏器已部分形成内皮化和被包裹,拔出具有一定难度、风险和不确定性。最终拔除手术的成功实施为后续的相似病例提供了可借鉴的经验。新疆医科大学第一附属医院心律失常诊疗中心心脏起搏电生理科将继续砥砺前行,敢为人先,勇往直前,竭诚为患者的生命健康保驾护航。