-

【媒体】石榴云|新疆诊断首例罕见病:法布雷病
2024-02-04
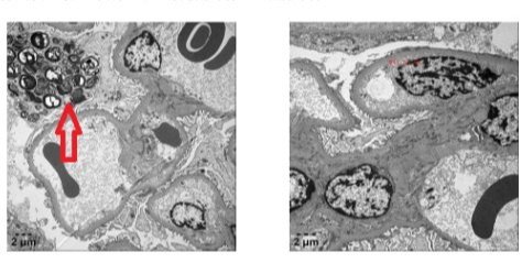
2023年11月,两例疑似法布雷病患者在新疆医科大学第一附属医院肾病中心就诊,经肾组织穿刺病理及基因诊断最终确诊为法布雷病。这是新疆肾脏病专业首次诊断遗传基因、临床及肾组织病理资料齐全的法布雷病患者,标志着新疆医科大学第一附属医院肾脏疾病中心对于疑难病、罕见病诊疗技术达到国内先进水平,诊治水平再上新台阶。法布雷病(Fabry disease)是一种X染色体伴性遗传的溶酶体贮积症,α-半乳糖苷酶A基因突变导致该酶活性....查看详情 >
-

【媒体】孩子发热咳嗽腹痛 可试试这些“推拿妙招”
2024-02-04
冬季是呼吸道系统疾病的多发期,有很多患呼吸道系统疾病的小朋友到医院就诊。其实,除了去医院外,家长也可以在家里给小朋友做一些推拿按摩,帮助康复。具体手法,来听听新疆医科大学第一附属医院小儿推拿专科门诊主治医师王娴的介绍查看详情 >
-

【媒体】健康来了|科学认识盆底疼痛
2024-02-04
只有女性才会得盆底相关疾病吗?常见的盆底疾病都有哪些?出现了盆底疼痛又该怎么办呢?新疆医科大学第一附属医院泌尿中心关永晖做客《健康来了》,为您一一解答查看详情 >
-

【媒体】石榴云/新疆日报|天山论“见”新医疑难危重病思维训练营开讲啦
2024-01-17
石榴云/新疆日报讯(记者 苏璐萍报道)“患者是一名20多岁的孕妇,分娩前出现高热、呼吸困难,随即终止妊娠。产后出现大出血,呼吸衰竭……”1月3日,在新疆医科大学第一附属医院学术交流会议室里,该院重症医学中心(ICU)重症医学一科主任于朝霞通过直播,向广大医师分享着近期遇到的危重病例。1月3日,新疆医科大学第一附属医院举办天山论“见”新医疑难危重病思维训练营。刘隽摄为培养青年医师的临床思维能力,提高其鉴别诊...查看详情 >
-

【媒体】挂牌成立!全疆规模最大!新医大一附院日间诊疗中心启用!
2024-01-17
不用排队等床全程检查走绿色通道入出院不超过48小时……1月9日全疆规模最大的新医大一附院日间诊疗中心正式挂牌成立优质医疗资源利用率和可及性的提升将让更多患者受益1月9日,新疆医科大学第一附属医院日间诊疗中心揭牌。姜虹摄日间诊疗中心是一种新型有效的诊疗模式,是为短期住院观察、治疗和进行特别检查的患者设置的诊治单元区域,由日间手术室和日间病房两部分组成。日间病房是介于门诊与住院之间的独立科室,设置专门的....查看详情 >
-

【媒体】健康来了——同心共护食品安全
2024-01-17
“民以食为天,食以安为先。”食品安全事关每个人的身体健康和生命安全,我们每个人都是食品消费者,食品安全是我们共同的追求。在日常生活中,我们如何吃的健康又安全?新疆医科大学第一附属医院临床营养科主任李莉做客《健康来了》节目,跟大家聊一聊食品安全的相关知识。来源:健康来查看详情 >
-

【媒体】新疆科技报|正确认识和预防帕金森
2023-12-21
帕金森病是一种常见的神经系统退行性疾病。如何正确认识、预防帕金森病?为此记者前往新疆医科大学第一附属医院采访到了神经外四科主任姜磊。他介绍到,帕金森病是一种好发于老年人的慢性神经退行性疾病,又称为震颤麻痹,因脑部神经元变性引起。其典型临床表现为静止性震颤、行动迟缓、肌强直、姿势步态障碍等运动症状。除常见的运动症状外,帕金森病患者同时还会伴有焦虑、抑郁、嗅觉减退、感觉异常等非运动症状。医生正在查....查看详情 >
-

【媒体】石榴健康丨孩子呼吸道感染后一直咳咋办?
2023-12-18
查看详情 >
-

【媒体】石榴云/新疆日报|一路“绿灯” 他们把12岁男孩从死亡边缘拉了回来
2023-12-13
石榴云/新疆日报记者 苏璐萍 12月11日,新疆医科大学第一附属医院儿内三科病房,12岁的小木和父母你一言我一语,小木虽然语速有点慢,但病情已明显好转。新疆医科大学第一附属医院小儿急危重症医学科,当时病情逐渐好转的小木和该院小儿急危重症医学科主任阿布来提·阿不都哈尔交流。刘隽摄 为做好今冬明春呼吸系统疾病防控,自治区卫生健康委统筹做好医疗救治工作,畅通上下转诊渠道,引导患者分级分类分层诊疗。同时,...查看详情 >
-

【媒体】人民网|张力为:探索个体化诊疗与创新疗法 惠及更多食管癌患者
2023-12-13
食管癌是世界范围内常见的消化道恶性肿瘤。日前,新疆医科大学第一附院胸外科主任张力为在做客“人民好医生”节目时说,应促进多学科规范化、个体化诊疗,合理运用多种诊疗手段,让更多食管癌患者迎来曙光。张力为介绍说:“食管癌早期无明显症状,当瘤体生长到一定大小,造成局部狭窄时,可能出现进食哽噎感、胸骨后异物感等症状。若肿瘤继续增大,中晚期表现为进行性吞咽困难、胸骨后疼痛或背痛、消瘦、呕血、便血等。患者在....查看详情 >

当前位置: